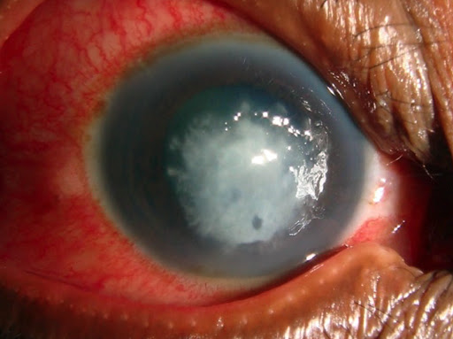
La cheratite neurotrofica è una rara malattia degenerativa della cornea.
È associata ad una compromissione del nervo trigemino, che innerva la cornea, l’organo con la più elevata densità di fibre nervose e recettori del dolore nel corpo umano.
Diverse malattie degenerative (ictus, sclerosi multipla, diabete) o procedure oculari (trattamenti laser, chirurgia) e anche bruciature chimiche o comuni malattie infettive oculari, in particolare la cheratite da herpes (simplex o zoster), sono in grado di danneggiare il nucleo pontino del trigemino, da dove l’innervazione sensoriale corneale inizia.
Le alterazioni nell’innervazione corneale provocano una riduzione o assenza della sensibilità alla superficie oculare; quindi, essendo la zona “anestetizzata”, i pazienti non si lamentano generalmente per il dolore o di altri sintomi, ma solo di una vista offuscata.
Ciò rende la diagnosi e il trattamento estremamente impegnativi, perché i pazienti possono recarsi dallo specialista solo quando la superficie oculare è già danneggiata in modo permanente.
Infatti, la cheratite neurotrofica è caratterizzata anche da lesioni spontanee della cornea, che la rendono più incline ad infezioni gravi. Queste lesioni sono in grado di evolversi, nella fase più avanzata della patologia, in perforazioni o nella liquefazione della cornea, portando ad una completa perdita della vista.
Il trattamento era finora sintomatico e basato sulla gravità della malattia.
Poteva essere costituito da lubrificanti o gocce antibiotiche per preservare l’integrità della superficie o in procedure chirurgiche, come i flaps congiuntivi o il trapianto di membrana amniotica, che possono rallentare l’avanzata della patologia, ma non sono comunque in grado di aumentare la funzione visiva o ripristinare la sensibilità corneale.
Da qualche settimana, un nuovo farmaco, denominato Oxervate, ha ricevuto l’autorizzazione all’immissione in commercio per il mercato italiano e sta aspettando l’approvazione in altri paesi europei per la cura della cheratite neurotrofica da moderata a grave.
La sostanza attiva di Oxervate, disponibile come collirio oculare e distribuito dal produttore italiano Dompé, è il cenegermin, che costituisce una forma ricombinante del fattore di crescita del nervo umano e stimola la rigenerazione e la sopravvivenza delle cellule epiteliali dell’occhio.
Oxervate costituisce un prodotto rivoluzionario non solo per la farmacologia oculare, essendo il primo farmaco basato sul fattore di crescita del nervo umano (NGF), una piccola proteina (tecnicamente un neuropeptide) che è coinvolto nella crescita, nella manutenzione e proliferazioni di alcuni neuroni. Il NGF è stato identificato negli anni Cinquanta dalla ricercatrice italiana Rita Levi Montalcini, che ha vinto il premio Nobel nel 1986 grazie a questa scoperta.
Altre sperimentazioni cliniche stanno attualmente testando l’efficacia del NGF per altre comuni malattie oculari che coinvolgono fibre nervose, come il glaucoma, l’edema maculare cistoideo e la retinite pigmentosa.
L’NGF sta regalando grandi aspettative ai ricercatori e una nuova speranza a migliaia di pazienti in tutto il mondo.
Una piccola proteina, una ragione gigantesca di orgoglio per tutti gli scienziati italiani.
Neurotrophic keratitis is a rare degenerative disease of the cornea.
This makes the diagnosis and the treatment extremely challenging, because patients may seek for medical advice when the ocular surface is already permanently damaged.
In fact, neuropathic keratitis is also characterized from spontaneous corneal breakdowns, that make the cornea more prone to severe infections. These lesions can evolve, in the most advanced stage of the disease, in corneal perforations or melting, leading to a complete loss of vision.
Treatment was so far symptomatic and depending on the severity of the disease.
It could consist of lubricants or antibiotic drops to preserve the surface integrity, or of surgical procedures, like conjunctival flaps or amniotic membrane transplantation, that can slow the progression of the condition, but cannot increase, anyway, the visual function or restore the corneal sensitivity.
Since few weeks, a new drug meant to cure moderate and severe neurotrophic keratitis, named Oxervate, has received the marketing authorization for the Italian market and is waiting for approval for other european countries.
The active substance of Oxervate, which will be available as eye drops solution and will be distributed from the Italian manufacturer Dompé, is named cenegermin, that is a recombinant form of the human nerve growth factor and stimulates the corneal epithelium regeneration and survival.
The NGF was identified in the Fifties from the Italian researcher Rita Levi Montalcini, who won the Nobel Prize in the 1986 due to this discovery.











Lascia un commento